矯正歯科

矯正担当医が皆さんの咬合と歯並びを改善します。
当院ではカウンセリングを行い、診断時に患者様と緻密な治療ゴール(治療設計)を立ててから治療に取り掛かっております。
満足度の高い矯正治療をご提供いたしますので、まずは一度ご相談ください。

矯正日のご案内

2023年

  • 1月25日(水)
  • 2月22日(水)
  • 3月29日(水)
  • 4月22日(土)
  • 5月17日(水)
  • 6月21日(水)
  • 7月26日(水)
  • 8月23日(水)
  • 10月21日(土)

月により変更になる場合がございますので、矯正日カレンダーでご確認願います。

矯正歯科について

歯には、力を加えるとその方向に移動する性質があります。矯正治療とはその性質を利用して口の中に矯正装置を入れて歯に一定の力をかけ時間をかけて歯を動かして治療していくものです。
清藤歯科医院-矯正歯科

矯正歯科は、見た目を良くするということも当然ありますが、歯並びを良くすることで、むし歯・歯周病予防、発音・嚥下の改善、顎関節への負担を軽減するなどの効果があります。また、義歯を付ける際にも、部分的に歯並びを治すことで、より美しく安定した義歯を付けることができます。

きれいな歯並びには流行や時代に左右されない健康的な美しさがあります。歯並びを良くすることによって心身的にも自身を持つことができることを実感していただけることでしょう。

矯正治療の目的

  • 歯磨きが上手にできないため、むし歯になりやすい
  • 良く咬めるようにする
  • むし歯や歯周病になりにくい環境にする(歯を長持ちさせることができる)
  • 不正咬合の原因となる話し方・飲みこみ方を改善する
  • 顎関節症の可能性を低くする
  • 素敵なスマイルで美しくなる

矯正の種類

唇側矯正 (クリアブラケット)

一般的な矯正具です。ワイヤーは金属ですが、ブラケット部が透明で歯になじみ目立ちにくいのが特徴です。
ワイヤー部はメタルタイプと同様のため、同じく高い効果が期待できます。
デメリットとしては、治療が終わるまで外す事ができません。また、舌側矯正よりも治療期間が短いのですが、見た目に影響がでます。
清藤歯科医院-矯正歯科

矯正治療の流れ

STEP1 矯正相談

矯正相談日の事前に患者様の歯型を採取します。
それで作った模型を使いながら、現在の状態および今後予想される問題点についてご説明します。
また使用する装置、料金についてお話しします。

STEP2 検査

矯正治療を行うにあたり、矯正診断が必要となります。
患者様の不正咬合の問題点がどこにあるのかを詳しく診るために、レントゲン写真、口腔内・顔面写真、歯型模型を採取します。
骨格的・歯系の面から不正咬合の原因を調べ治療の方針を作製します。

STEP3 診断

検査結果のお話しをします。
骨格的・歯系の問題点についてお話します。
治療に必要な装置、装置の注意事項、治療にかかる期間などについて詳しくご説明します。

STEP4 治療開始(歯を動かす装置を装着)

装置の準備を行い、お口の中に装置が付いたら歯の移動が始まります。
歯を動かす治療では月に一回(または二ヶ月に一度)の来院が必要となります。

STEP5 装置撤去・保定治療開始(歯を固定する装置を装着)

予定していた位置に歯を動かし終わると装置を撤去します。
そのあと、歯を固定するための装置を装着します。動かし終えたばかりの歯は元の位置に戻ろうとする性質があります。
このため歯を支える骨や歯周組織がしっかり固まるまで、最低でも2年間はおさえておく必要があります。
保定治療期間中は年に数回来院していただき経過観察します。

費用

初心時相談、検査無料
小児矯正 (混合歯列)363,000円+34,100円(診断料)
成人矯正(永久歯列)726,000円+34,100円(診断料)
唇側矯正218,000円

※すべて税込み価格となっております。

症例

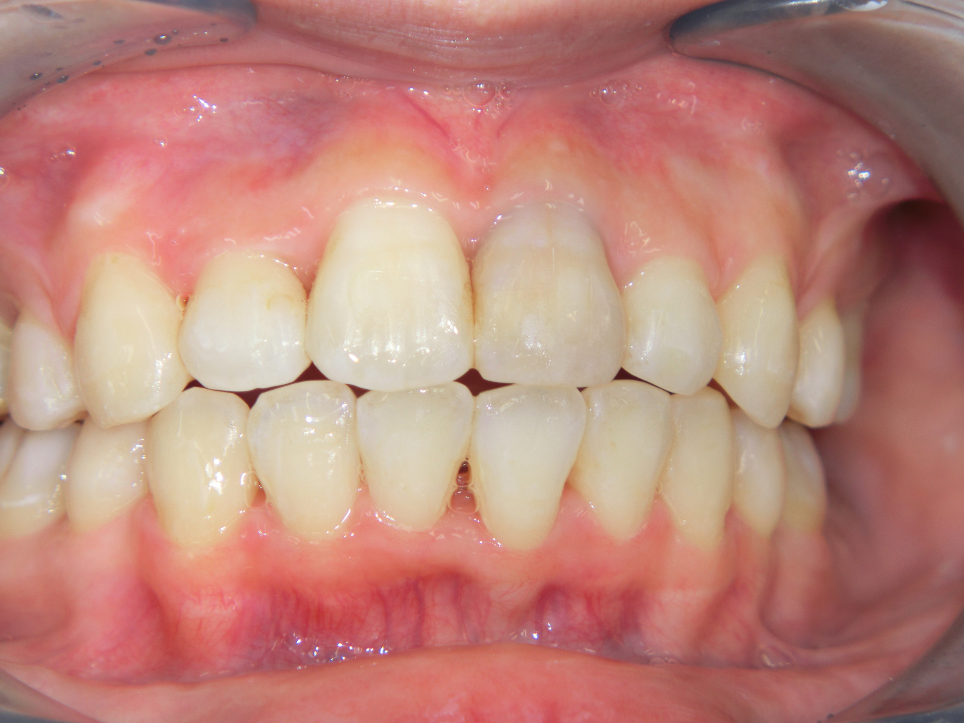
症例 1-術前

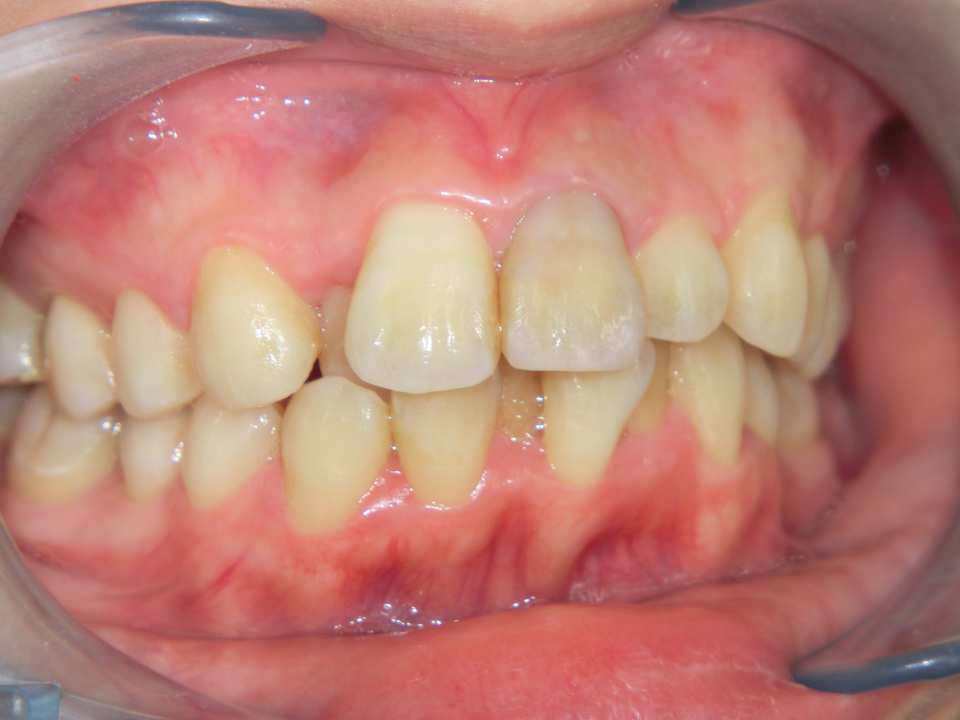
術前正面観-1

清藤歯科医院-矯正歯科

術前正面観-2

清藤歯科医院-矯正歯科

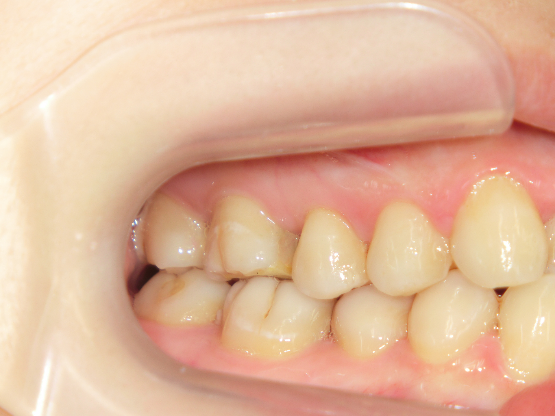
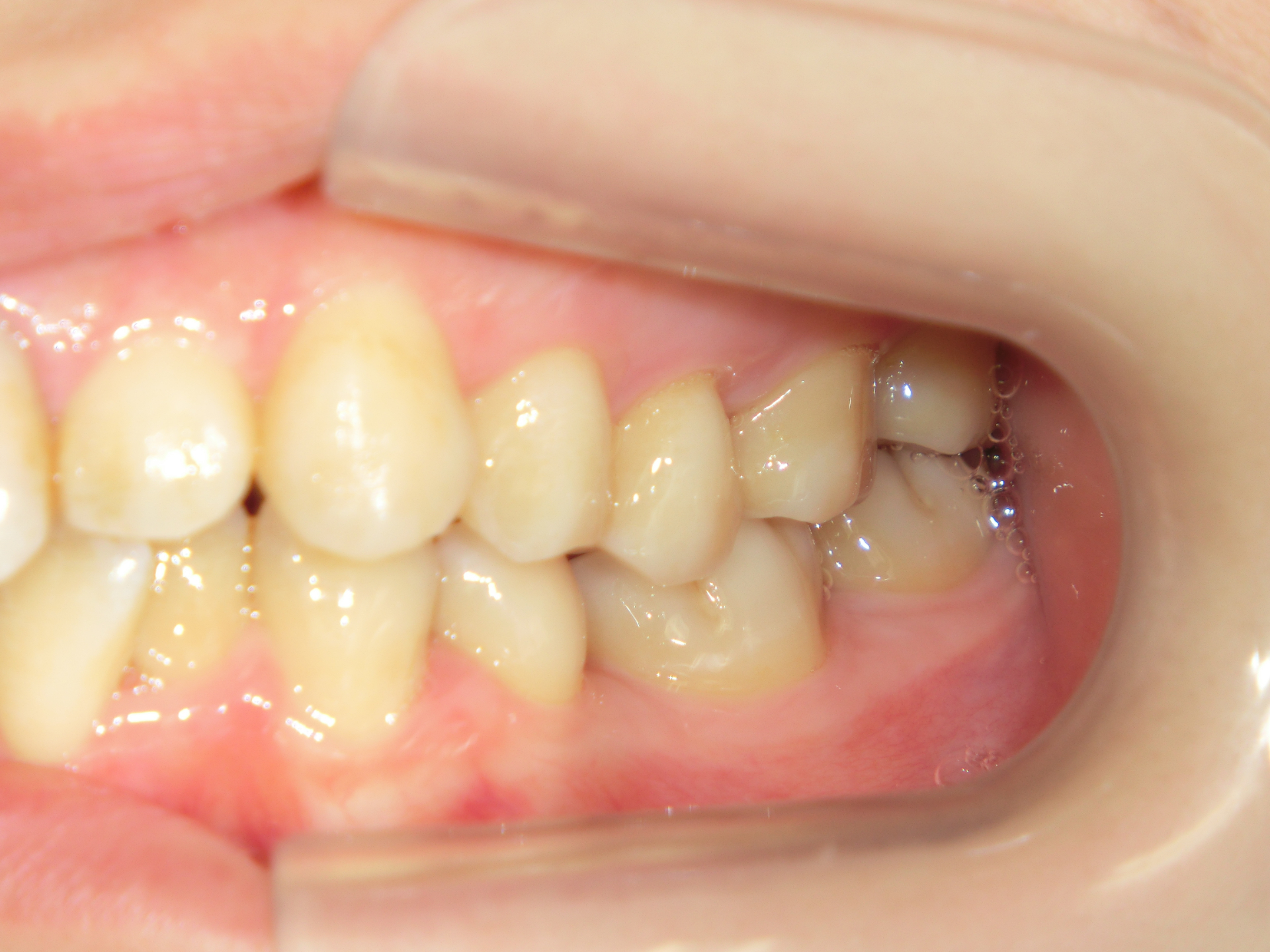
術前側方面観

清藤歯科医院-矯正歯科

前正面観

清藤歯科医院-矯正歯科

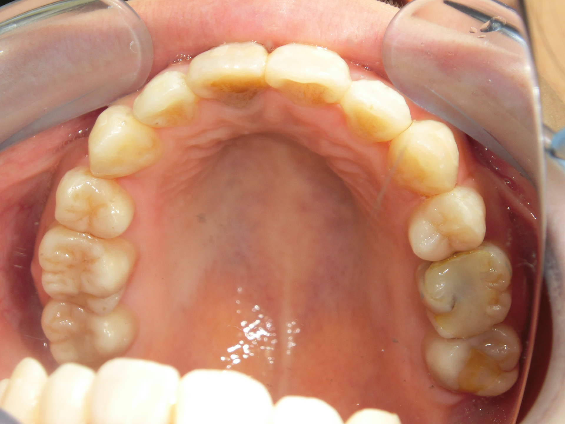
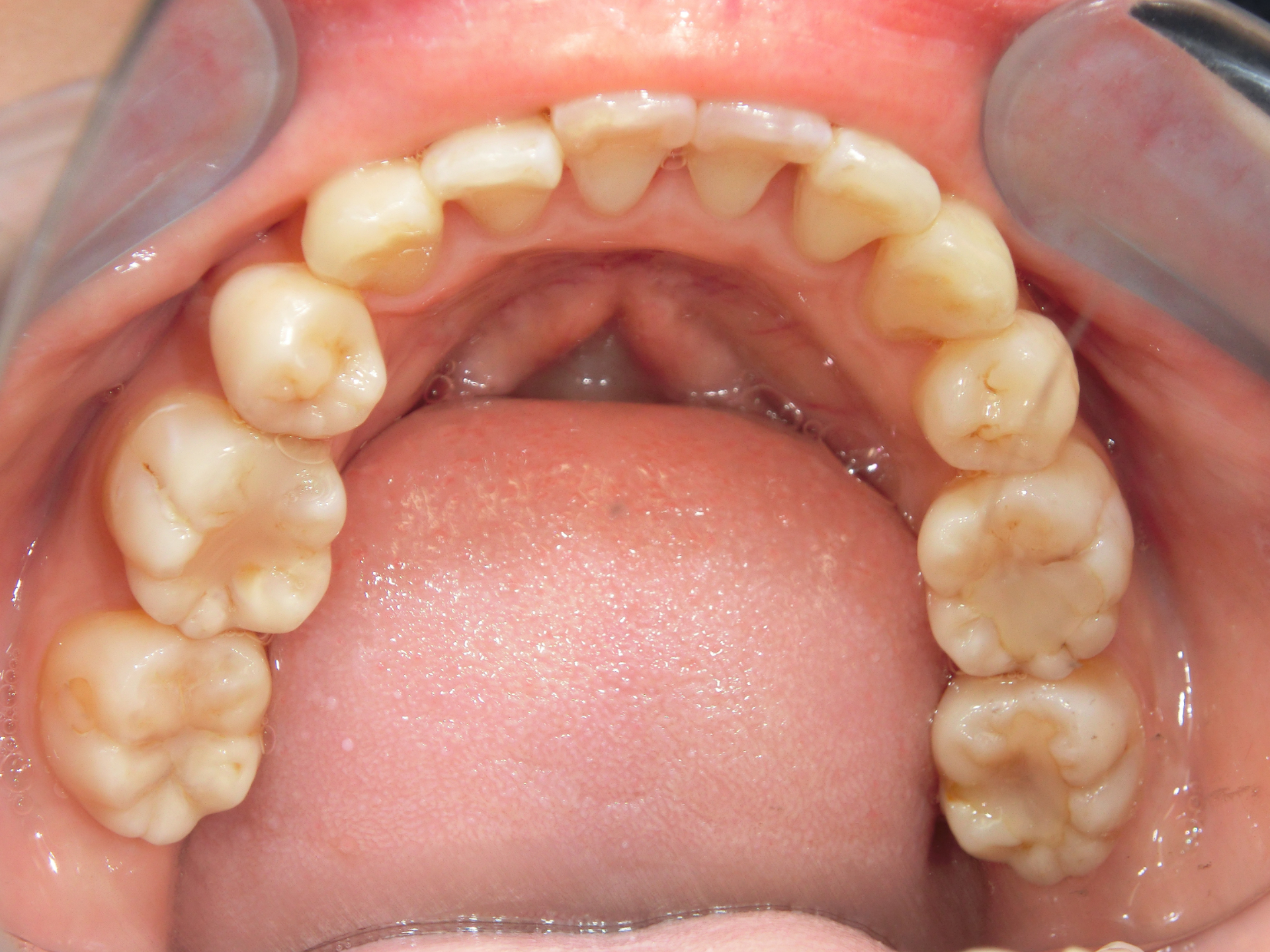
術前上顎

清藤歯科医院-矯正歯科

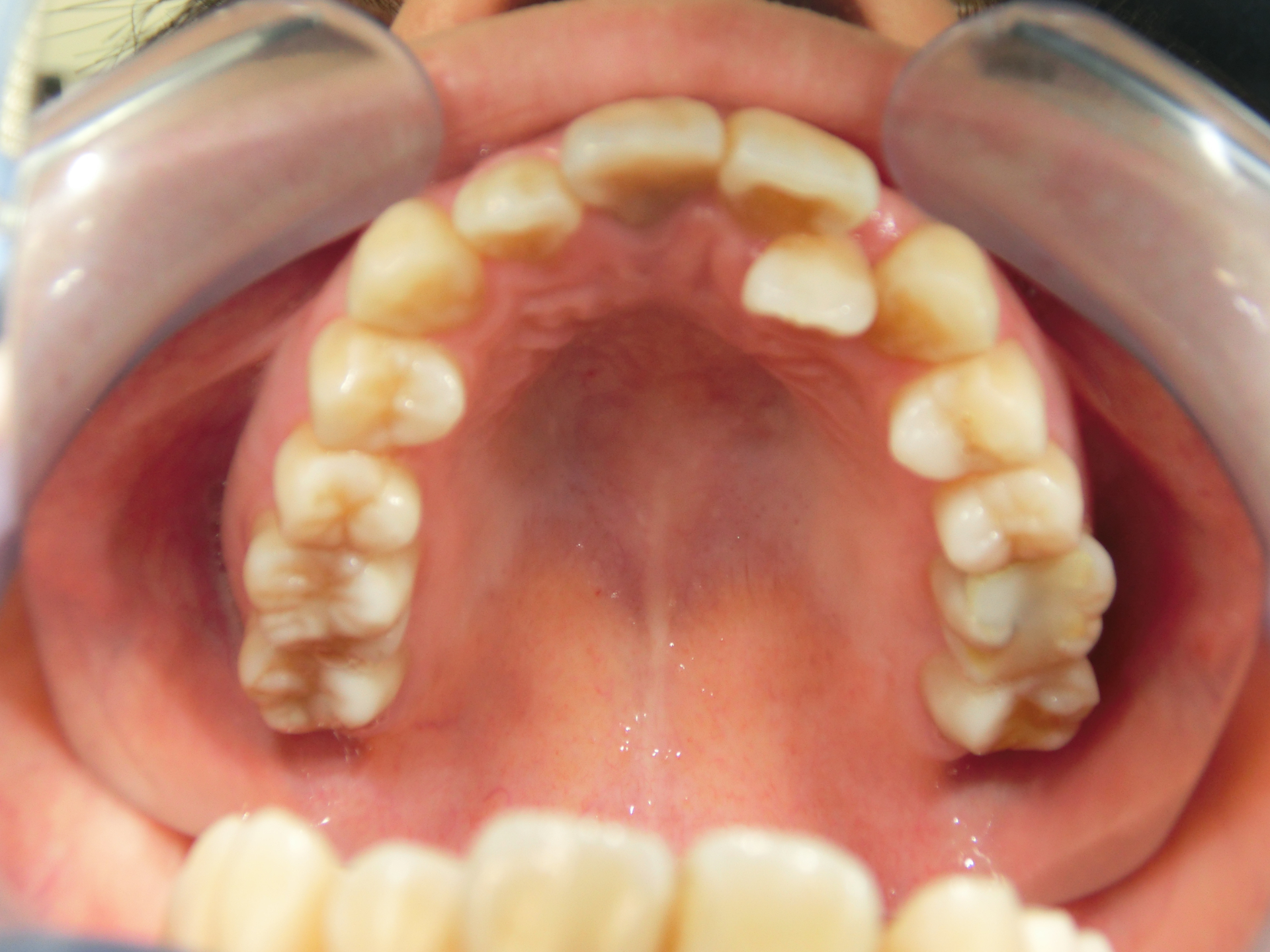
術前下顎

清藤歯科医院-矯正歯科

症例 1-術後

術後正面観

清藤歯科医院-矯正歯科

術後側方面観

清藤歯科医院-矯正歯科

術後正面観

清藤歯科医院-矯正歯科

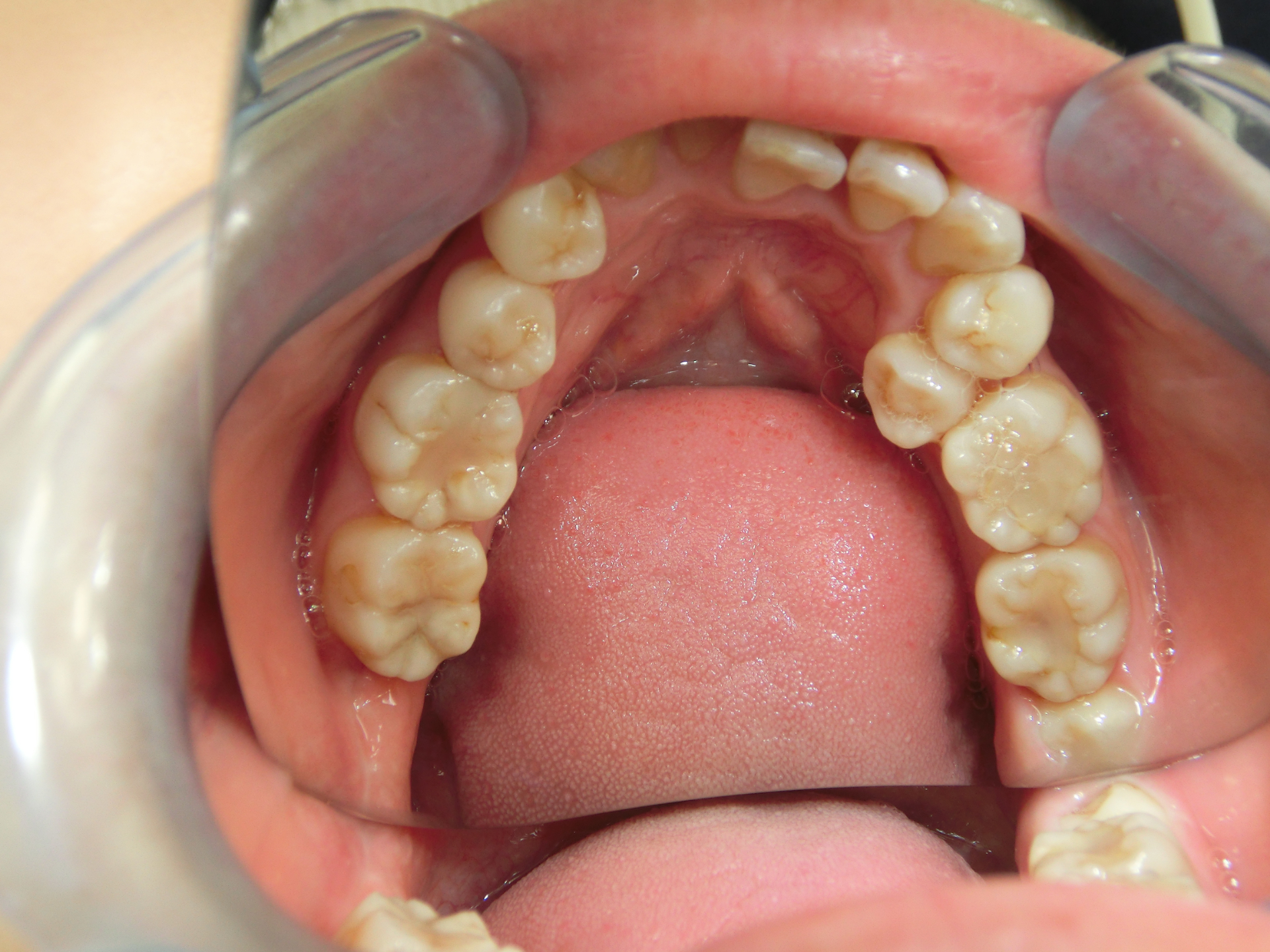
術後上顎

清藤歯科医院-矯正歯科

術後下顎

清藤歯科医院-矯正歯科

術後右側

清藤歯科医院-矯正歯科

術後左側

清藤歯科医院-矯正歯科

年齢31歳女性
主訴歯並び治したい
治療期間約2年半
治療内容歯を並べる為のスペースが不足していた為、上下顎小臼歯を4本抜歯し、歯牙にブラケットを装着し正常な咬合、歯列と口元の改善をおこなった。
費用781,180円
考えられるリスク矯正治療後のリスクには、歯の移動や安定性の問題、歯茎の変化、一時的な不快感などが含まれます。

清藤歯科医院

清藤歯科医院-院内紹介

平日9:00~12:00/14:00~18:00
土曜9:00~13:00
休診日曜日・祝日

青森県つがる市木造清水22
(駐車場3台完備)


TOP