入れ歯とは?
入れ歯は決して見た目だけのためのものではありません。せっかく入れ歯を入れても、かみ合わせが合わず、食べ物がきちんと噛めないばかりではなく、肩こりや頭痛に悩まされることがあります。また、入れ歯がフィットせず、入れ歯がすぐ取れてしまったり、歯ぐきが痛いなどさまざまです。

当院では、見た目はもちろん咬む機能(咬合)を重視し、あくまでも咬む機能を回復するための入れ歯を提供できるよう力を注いでおります。
入れ歯について
総入れ歯
大部分の歯が失われた場合に用いるタイプです。総入れ歯は吸盤のように口の中で密着します。「総入れ歯には違和感がある」というイメージをお持ちの方もいますが、現在の総入れ歯は大変精巧になっていて違和感なく噛むことでき、食事も問題なく楽しむことが出来ます。

部分入れ歯
失われた歯の周囲に支えとなる歯がない場合や、ブリッジ治療を避けたい場合に用います。上下ともに健全な状態の歯が一本でも残っていることが条件となります。取り外し式の部分入れ歯を歯肉の上に直接置き、周囲の歯にクラスプ(金属のバネ)で固定して噛めるようにします。

当院で扱っている入れ歯の種類
金属床
プラスチックの物に比べ床を薄くすることができるので、熱が伝わりやすいです。丈夫さや薄さを限りなく追及しているので、自然に近い装着感や快適感を得ることが可能です。デメリットとして、壊れにくい半面、壊れた時に修理が困難な場合があります。

ナチュラルデンチャー
ナチュラルデンチャーはバネのある通常の入れ歯に比べ、薄く、軽く、割れないといった特徴があります。目立たなく美しい、日本を代表するノンクラスプデンチャーです。
デメリットとして、
デメリットとして、
- 残っている歯の動揺【歯周病などによる】がある場合には適応できません。
- 年数経過とともに色調がピンクから白色になります。
- 年数経過とともにバネが緩くなります。

※B・C はお預かりして修理可能です。
費用
| 金属床 | 363,000円 |
|---|---|
| ナチュラルデンチャー | (片側のみ)110,000円 |
| (両側)181,500円 |
※すべて税込み価格となっております。
症例
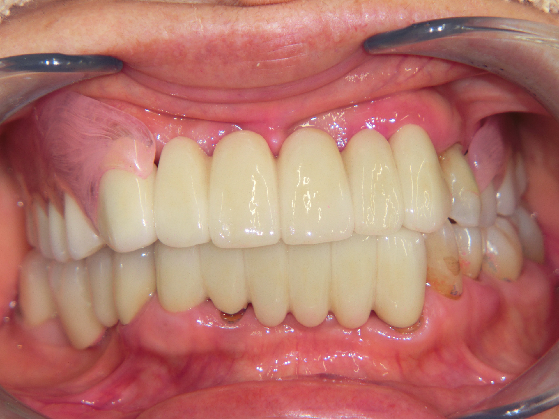
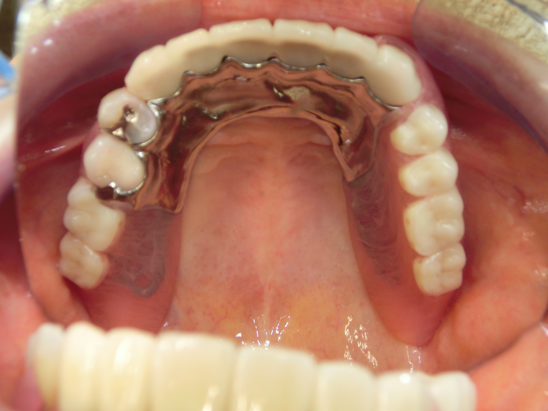
コンビネーション義歯
コンビネーション義歯

正面観

咬合面観

| 年齢 | 73歳女性 |
|---|---|
| 主訴 | 審美的な入れ歯作りたい、上顎の違和感なくしたい |
| 治療期間 | 約1ヶ月 |
| 治療内容 | 審美性の希望と義歯を装着した際の上顎の違和感と食事の際の味、温度がわかりづらいとのことで口蓋部を金属にし、正面から見えるバネを非金属のものとした。 |
| 費用 | 313,720円 |
| 考えられるリスク | 不適切な圧迫による口内の不快感、噛み合わせの問題、歯茎の変化、義歯の不安定性などがあります。また、口内衛生の維持が重要で、感染症や口内炎の発生も注意が必要です。治療後には定期的な歯科検診が重要です。 |
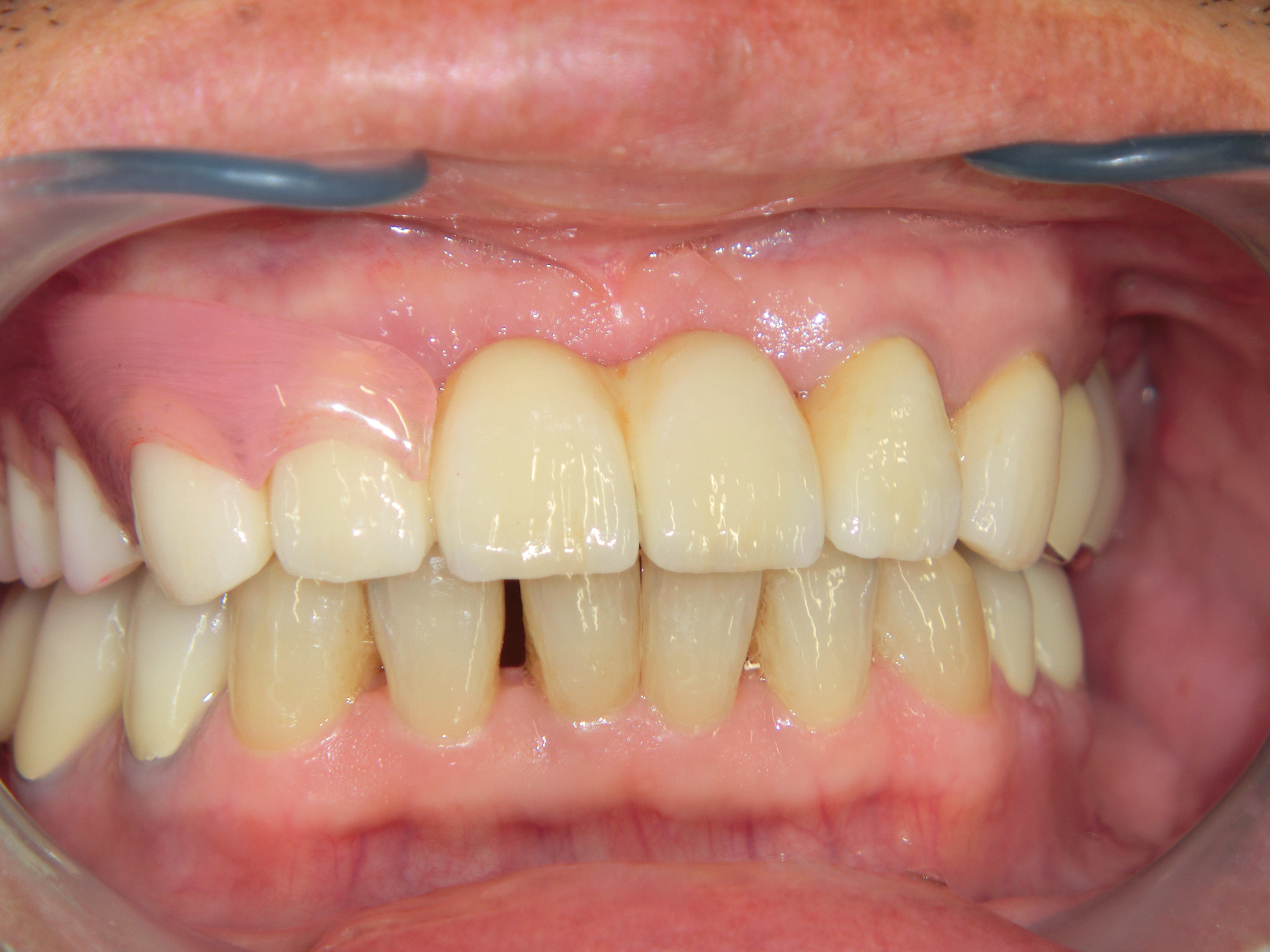
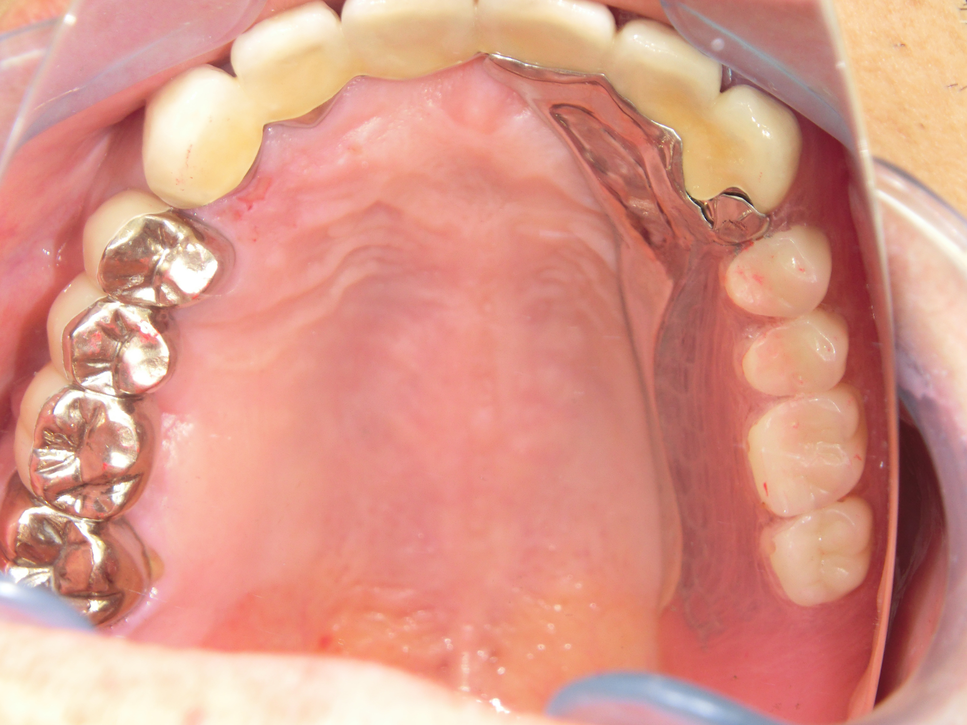
コンビネーションデンチャー
コンビネーションデンチャー-1

コンビネーションデンチャー-2

コンビネーションデンチャー-3

コンビネーションデンチャー-4

コンビネーションデンチャー-5

コンビネーションデンチャー-6

| 年齢 | 60代男性 |
|---|---|
| 主訴 | 違和感少ない入れ歯にしたい |
| 治療期間 | 1.5ヶ月 |
| 治療内容 | 両側性の設計で入れ歯を作ったが、違和感と疼痛、食事時のガタつきがあり殆ど使用なかったとのこと。変則性の設計と口蓋部を金属で極力薄くすることで違和感の改善を行い、また審美性も希望された為、正面から見えるバネを非金属のものとした。 |
| 費用 | 219,750円 |
| 考えられるリスク | 定期的な咬み合わせの調整と残っている歯牙のクリーニングを行わないと、歯牙のに荷重負担がかかり動揺を引き起こし、それにより義歯の維持安定性を損なう可能性がある。 |
