インプラント

インプラントとは

インプラントとは、歯をむし歯や歯周病、外傷などで失った場合に、入れ歯が簡単には外れてこないように、骨に直接維持を求めた人工の歯(人工歯根)のことを言います。
清藤歯科医院-インプラント
従来は歯を失った場合にはブリッジといって、なくなった歯の両隣の歯を削って、ない部分の入れ歯を支えたり、取り外しのできる歯(入れ歯)を作っていました。ところが、ブリッジについては失った歯を支える為に両隣の歯を削ることにより、削った歯の寿命が短くなったりすることがあります。

インプラント治療はこんな方に適しています!

  • 入れ歯がガタついたり、気になって食事が美味しく楽しめない
  • 思うように噛むことができず、食べるものが限られてしまった
  • 入れ歯が動くため発音、発声がおかしくなり、しゃべりにくくなってしまった
  • 営業職、調理師、タレントなど職業的、審美的に入れ歯では支障がある

当院で使用しているインプラント

カムログ・インプラント (カムログテクノロジー社製のインプラント)

ドイツの歯科医師たちが長年研究を重ねた結果、1995年に誕生したポピュラーなインプラントシステムです。人工歯根と人工歯をつなぐ”アバットメント”という連結部分の強度が優れていることが特長です。このシステムには4種類もの型があり、顎の骨の状態に合うものを選択できるので、より安全で完成度の高い治療が実現します。

インプラント治療の流れ

STEP1 診察と治療計画

インプラント治療に必要な診断を行い、インプラント治療が可能かどうかを診断します。

その後、治療計画を立てます。
清藤歯科医院-インプラント

STEP2 フィクスチャー埋入の手術

人工歯根のフィクスチャーを顎の骨に埋入する手術を行います。
局所麻酔を用いて行いますので、安心して手術を受けることができます。

清藤歯科医院-インプラント

STEP3 治癒期間

その後、骨とインプラントがしっかり結合するまでの治癒期間を設けます。(3ヶ月~6ヶ月)治癒期間は骨の質などにより個人差があります。この間、必要に応じて仮の歯を入れる場合があります。

STEP4 アバットメントの連結

人工の歯の支台となるインプラントの部分(アバットメント)をフィクスチャーに連結します。
この時、簡単な手術を行う場合があります。

清藤歯科医院-インプラント

STEP5 人工歯の装着

インプラントを含めたお口の中全体の印象採取(歯の型をとること)を行います。
その型に従い人工の歯を作製します。その後、アバットメントの上に人工歯を装着して完成です。

清藤歯科医院-インプラント

STEP6 メインテナンス

インプラント治療終了後、インプラントを長持ちさせるためには、適切なホームケアと定期的な検診が不可欠です。
また、半年後に一度インプラントの状態を見るために定期検診を受けることをおすすめしています。

清藤歯科医院-インプラント

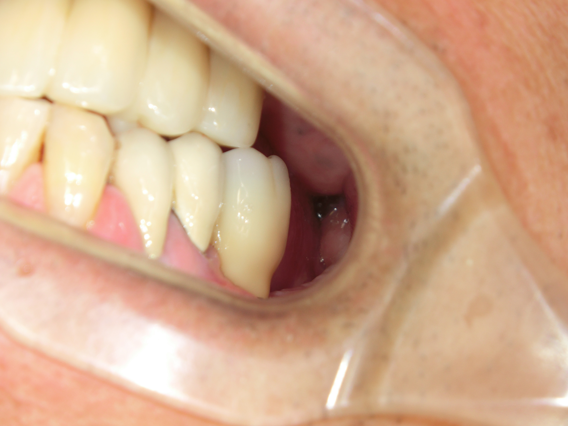
症例

下顎術前

清藤歯科医院-インプラント

下顎2次オペ-1

清藤歯科医院-インプラント

下顎2次オペ-2

清藤歯科医院-インプラント

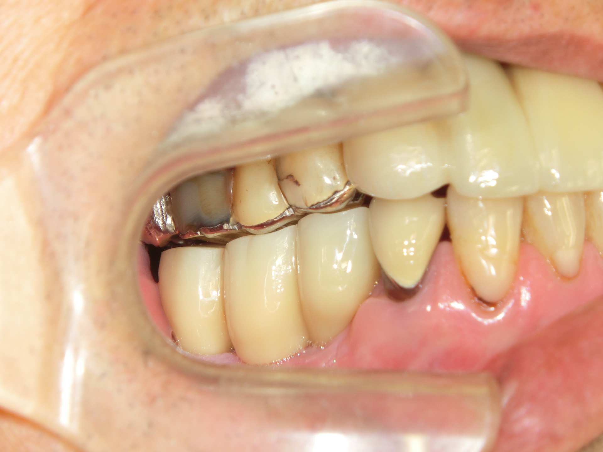
下顎ファイナル-1

清藤歯科医院-インプラント

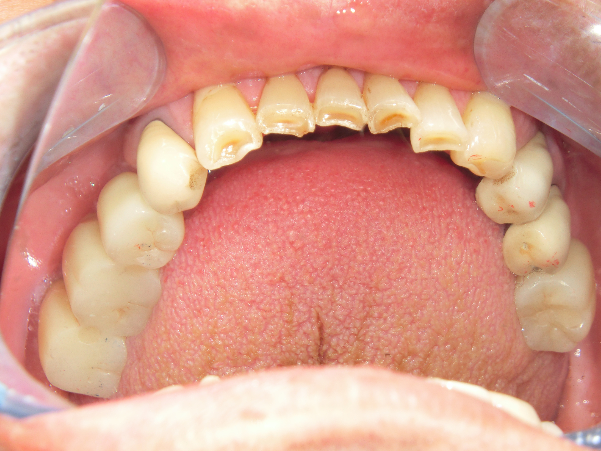
下顎ファイナル-2

清藤歯科医院-インプラント

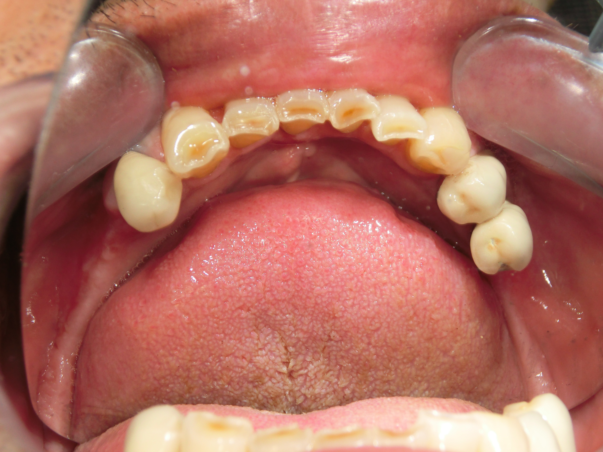
左下ファイナル

清藤歯科医院-インプラント

年齢60代男性
主訴入れ歯を使わずに咬めるようにしたい
治療期間約7ヶ月
治療内容術前にCTにて骨の状態精査、3Dシュミレーションソフトによる顎骨の形態的な情報や骨密度などの詳細を数値的に把握し、コンピューター上でインプラントの埋入位置を決定しインプラント埋入。インプラント体が骨としっかり結合していることを確認後仮歯を装着。歯肉の状態の確認と咬合時の痛み及び違和感がないことを確認後に最終的な被せ物をセット。
費用1,221,000円
考えられるリスクインプラント手術後に感染、出血、神経損傷などのリスクが挙げられます。また、インプラントがしっかりと骨に結合しない場合もあります。

清藤歯科医院

清藤歯科医院-院内紹介

平日9:00~12:00/14:00~18:00
土曜9:00~13:00
休診日曜日・祝日

青森県つがる市木造清水22
(駐車場3台完備)


TOP