白く美しい歯を手にいれて、もっと素敵な笑顔になりませんか?
審美歯科とは
審美歯科とは、歯の美しさに焦点を当てた総合的な歯科治療です。歯の美しさとは、機能的にはもちろん、形や色といった調和をとり、美しい口元を作ります。そのため、審美歯科治療は審美的・機能的にとても理想的な歯科治療技術といえます。

最近では、歯科技術の向上、審美歯科治療の費用も安価になっていることもあり、 より身近になってきてはいますが、健康保険制度の適用にはならない為、審美的な治療を行うには限界があるのが現状です。
主な審美素材
セラマージュ【ハイブリッドセラミック】
セラマージュとは、日本の会社が開発した、セラミック材とレジン材を配合させたハイブリッドセラミックスを使用した歯科素材のことです。本物の歯に近い透明感のある歯を形成することが出来ます。
この治療のメリットとしては硬度が普通の歯と変わらないのでかみ合わせの相手の歯を痛めないこと、治療を受けた箇所が目立たないことが挙げられます。
デメリットとして、内面に金属を使用するので金属アレルギーの方には勧められない事と、異常に強い力が加わった場合に破損する場合がある事があげられます。
この治療のメリットとしては硬度が普通の歯と変わらないのでかみ合わせの相手の歯を痛めないこと、治療を受けた箇所が目立たないことが挙げられます。
デメリットとして、内面に金属を使用するので金属アレルギーの方には勧められない事と、異常に強い力が加わった場合に破損する場合がある事があげられます。

| インレー | (単純)22,000円 |
|---|---|
| (複雑)38,500円 | |
| クラウン | 60,500円 |
※すべて税込み価格となっております。
メタルボンド【セラミック】
メタルボンドとは金属のまわりにセラミックを貼り付けたかぶせものです。中身が金属で出来ているので、強度がオールセラミックより強く、表面がセラミックで出来ているので、自然な色合いで審美性にも優れていますが、歯ぐきの変色や金属アレルギーが起こる可能性などのデメリットがあります。
治療箇所により、比較的強度が必要な個所の治療やブリッジに適しています。

| 料金 | 88,000円 |
|---|
※すべて税込み価格となっております。
e-max 【オールセラミック】
e-maxとは、高い強度と透明度、均一性をもった審美性の高いセラミックの一つです。
天然の歯に近い摩耗性も持っているので、かみ合わせの対象となる天然の歯に対しても無理なく使用できます。
セラミックだけで作られているので、自然な透明感と輝きがあり審美性に優れ、変色が少ない治療です。デメリットとして、ジルコニアインレーに比べると強度は落ちます。
天然の歯に近い摩耗性も持っているので、かみ合わせの対象となる天然の歯に対しても無理なく使用できます。
セラミックだけで作られているので、自然な透明感と輝きがあり審美性に優れ、変色が少ない治療です。デメリットとして、ジルコニアインレーに比べると強度は落ちます。

| インレー | 55,000円 |
|---|---|
| クラウン | 99,000円 |
※すべて税込み価格となっております。
ジルコニア【ジルコニアオールセラミック】
ジルコニアセラミックとはオールセラミックの審美性と金属の強度を併せもった、最新の素材です。金属を一切使用していないので、光の透過性もよく、金属アレルギーや歯ぐきの変色の心配もありません。強度が優れているため、今までオールセラミックスではできなかったブリッジでの使用も可能です。現在では、審美性・強度ともに、もっとも優れている審美素材です。
デメリットとして、色の再現性が限られてしまう事があげられます。
デメリットとして、色の再現性が限られてしまう事があげられます。

| 料金 | 132,000円 |
|---|
※すべて税込み価格となっております。
白い歯の種類(比較)
自費
| 種類 | オールセラミックス(主材料:セラミックス) |
|---|---|
| 特徴 | 金属を使用せずセラミックスだけのもので自然感に優れています。 金属アレルギー○ |
| 治療できる歯 | 前歯 ○ 臼歯 ○ |
| 状態 | 自然感 ★★★★★ 変色度 ★★★★ 磨耗度 ★★★★ |
| 種類 | ![]() メタルボンド(主材料:セラミックス) |
|---|---|
| 特徴 | 金属の上にセラミックスを焼き付けたもので擦り減り・変色がほとんど無い。 |
| 治療できる歯 | 前歯 ○ 臼歯 ○ |
| 状態 | 自然感 ★★★★ 変色度 ★★★★ 磨耗度 ★★★★ |
| 種類 | ![]() セラミックスべニア(主材料:セラミックス) |
|---|---|
| 特徴 | 金属を使用せずセラミックスだけのもので歯の表面を白くすることができます。 |
| 治療できる歯 | 前歯 ○ 臼歯 = |
| 状態 | 自然感 ★★★★★ 変色度 ★★★★ 磨耗度 ★★★★ |
| 種類 | ![]() ハイブリッドレジン(主材料:セラミックス+レジン) |
|---|---|
| 特徴 | 主材料のように中間的なもので天然歯には一番やさしく対応できるものです。 |
| 治療できる歯 | 前歯 ○ 臼歯 ○ |
| 状態 | 自然感 ★★★ 変色度 ★★ 磨耗度 ★★ |
| 種類 | ![]() ハイブリットべニア(主材料:セラミックス+レジン) |
|---|---|
| 特徴 | 主材料のように中間的なもので天然歯には一番やさしく対応できるものです。 |
| 治療できる歯 | 前歯 ○ 臼歯 = |
| 状態 | 自然感 ★★★ 変色度 ★★ 磨耗度 ★★ |
保険
| 種類 | ![]() 硬質レジン(主材料:レジン) |
|---|---|
| 特徴 | 永年使用していると変色したり、擦り減ってしまうことがあります。 |
| 治療できる歯 | 前歯 ○ 臼歯 金属× |
| 状態 | 自然感 ★★ 変色度 ★ 磨耗度 ★ |
症例
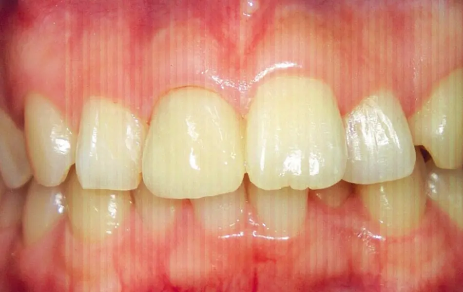
e-max症例 1
術前

術後

| 年齢 | 40代男性 |
|---|---|
| 主訴 | 前歯の審美障害 |
| 治療期間 | 2.5ヶ月 |
| 治療内容 | 上下の噛み合わせが深く削る量に限界があった為、二本の歯の根の治療を行った。隣の歯が天然歯で色調を合わせる為、土台にも金属を使わない被せ物を選択。 |
| 費用 | 172,800円 |
| 考えられるリスク |
|
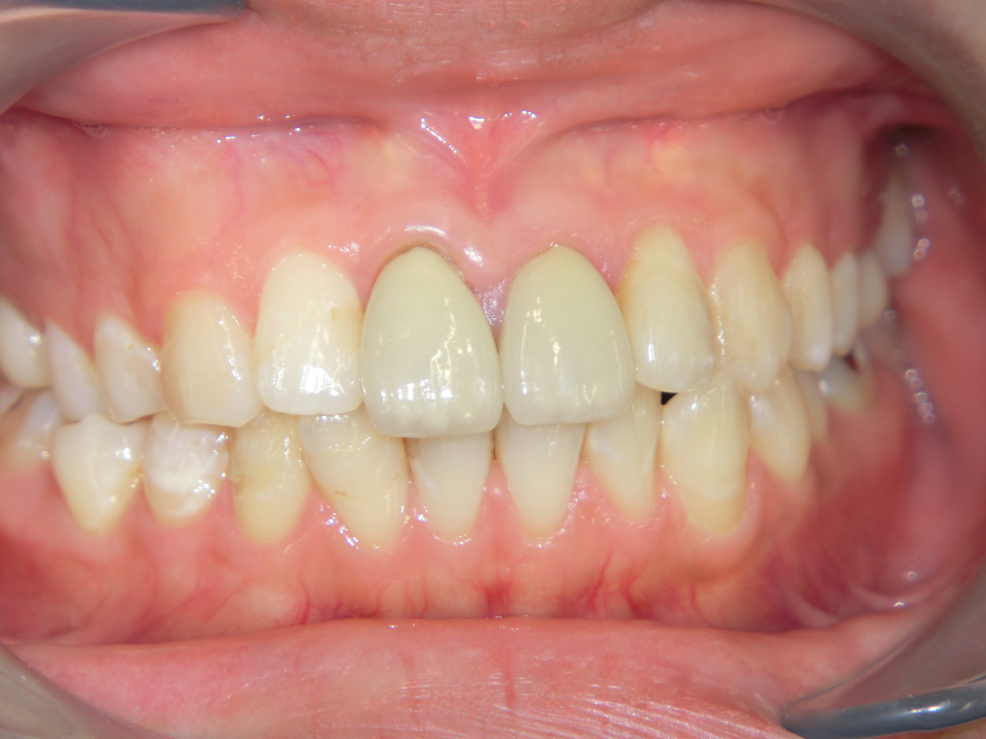
e-max症例 2
術前

術後

| 年齢 | 20代女性 |
|---|---|
| 主訴 | 冷たい物がしみて歯もズキズキする |
| 治療期間 | 2ヶ月 |
| 治療内容 | 神経に近い虫歯であった為、根の治療を行い非金属の土台を入れ被せた。 |
| 費用 | 86,400円 |
| 考えられるリスク |
|
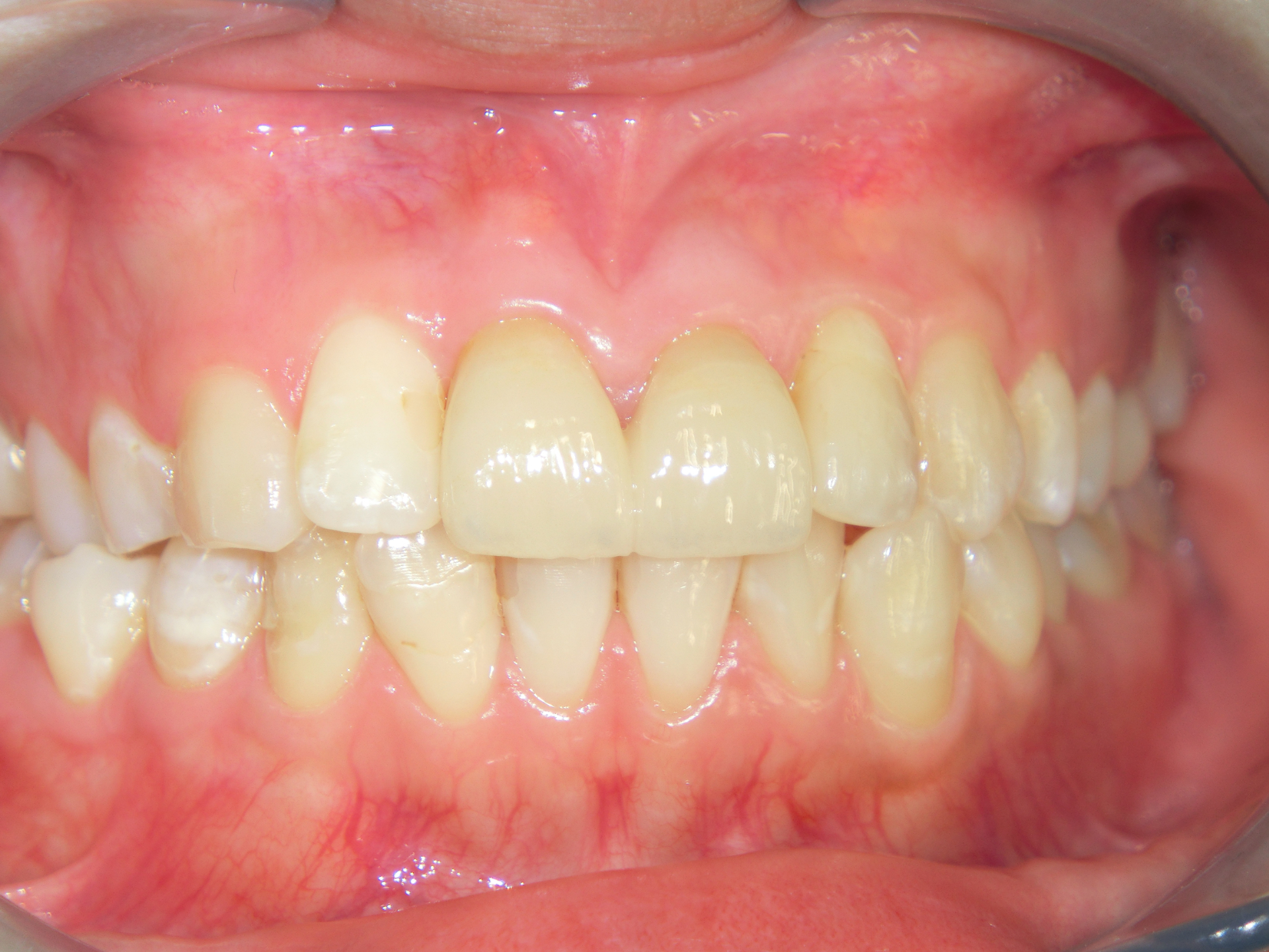
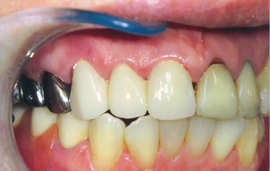
e-max症例 3
術前-1

術前-2

術後

| 年齢 | 26歳女性 |
|---|---|
| 主訴 | 前歯の変色気になる何度か腫れを繰り返している |
| 治療期間 | 約2.5ヶ月 |
| 治療内容 | 隣り合う歯と下の咬み合う歯の色調が合っておらず、また同部を写真精査したところ根の先端に炎症があった為、根の再治療を行なってから被せ直した。 |
| 費用 | 179,850円 |
| 考えられるリスク |
|
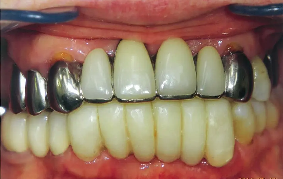
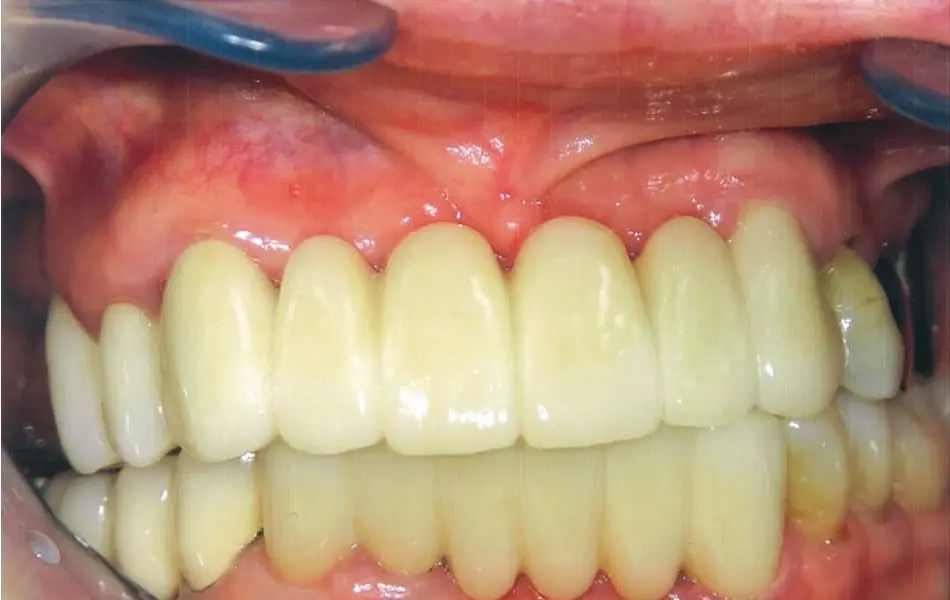
メタルボンド症例
術前

術後

| 年齢 | 60代女性 |
|---|---|
| 主訴 | 上下顎前歯及び上の奥歯の審美障害及び冷たい物がしみる |
| 治療期間 | 3ヶ月 |
| 治療内容 | 上下の古い被せ物を外し中の土台が虫歯になっていた為、それも新たに作り直した。さらに下の歯は神経がある歯で中が虫歯になっていた為、根の治療を行い最終的に全て同じ素材で被せ直した。 |
| 費用 | 1,134,000円 |
| 考えられるリスク |
|
エステニア症例 1
術前

術後

| 年齢 | 40代女性 |
|---|---|
| 主訴 | 被せ物の変色が気になる |
| 治療期間 | 1ヶ月 |
| 治療内容 | 古い被せ物及び古い土台を除去し被せ直した。 |
| 費用 | 194,400円 |
| 考えられるリスク |
|
エステニア症例 2
術前

術後

| 年齢 | 30代女性 |
|---|---|
| 主訴 | 上の前歯、変色気になる(5本) |
| 治療期間 | 2ヶ月 |
| 治療内容 | 古い被せ物を外し、中の土台も虫歯になっていた為、新しい土台をいれ神経がある歯も虫歯になっていた為、根の治療を行い被せた。 |
| 費用 | 324,000円 |
| 考えられるリスク |
|
オールセラミックス(主材料:セラミックス)




